Гипертензия малого круга кровообращения

Оглавление

  1. Дорога к бессмертию
  2. Бессмертие и религия
  3. Философия бессмертия
  4. Бессмертие и наука
  5. История анабиоза
  6. Смерть
  7. Кора головного мозга
  8. Бессмертие и анабиоз
  9. Анабиоз, медицина и биология
  10. Анабиоз и экономика
  11. Анабиоз и закон
  12. Анабиоз в Антарктиде
  13. Техническое обеспечение анабиоза
  14. Бессмертие и вера
  15. Библиотека Ordo Deus
  16. Контактная страница Ordo Deus

Гипертензия малого круга кровообращения

Гипертензия малого круга кровообращения (греческий hyper + латинское tensio напряжение, натяжение; синонимы: гипертония лёгочная, гипертензия лёгочная) — повышение кровяного давления в сосудах малого круга кровообращения.


Нормальное давление в лёгочном стволе в состоянии покоя (испытуемый находится в горизонтальном положении) не превышает 15—20 миллиметров ртутного столба Капиллярное лёгочное давление равно 6—9 миллиметров ртутного столба, иногда достигает 12 миллиметров ртутного столба и мало зависит от возраста. Если давление в лёгочном стволе превышает 25 миллиметров ртутного столба, говорят об артериальной гипертензии (допустимы колебания в пределах 15—25 миллиметров ртутного столба). В тяжёлых случаях систолическое давление в лёгочном стволе людей может повышаться в 5—15 раз по сравнению с нормой и быть выше, чем в большом круге.

Описание первого документированного случая лёгочной гипертензии было опубликовано в 1891 год.

В 1967 год резко увеличилось число больных Гипертензия малого круга кровообращения в Швейцарии, ФРГ, Австралии. Довольно большое число случаев с морфологически картиной в лёгких, идентичной первичной лёгочной гипертензии, было зарегистрировано в 1974 год в Индии и Иране.

На совещании ВОЗ в 1973 год отмечено, что в некоторых случаях причина Гипертензия малого круга кровообращения остаётся неизвестной. В связи с этим была рекомендована следующая этиологического классификация: 1) лёгочная гипертония (гипертензия) известной этиологии; 2) лёгочная гипертония (гипертензия) сомнительной этиологии (при возможной роли какого-то этиологического фактора) и 3) лёгочная гипертония (гипертензия) неизвестной этиологии, традиционно именуемая первичной лёгочной гипертонией, или, правильнее, первичная Гипертензия малого круга кровообращения

Этиология

Первичная Гипертензия малого круга кровообращения — заболевание редкое, среди кардиологический больных частота его составляет 0,2% случаев. Этиология не выяснена. Ряд исследователей считает, что к развитию первичной Гипертензия малого круга кровообращения могут вести различные патологический процессы; имеются указания на этиологического значение семейных и наследственных факторов.

Возникновение первичной Гипертензия малого круга кровообращения и рецидивирующих тромбоэмболий лёгочного ствола и его ветвей отмечается также при высотной альвеолярной гипоксии, после родов, а также вследствие побочного действия некоторых лекарственных средств при индивидуально повышенной чувствительности к ним.

Гипертензия малого круга кровообращения известной этиологии является вторичным патологический процессом, развивающимся в результате предшествующих болезней: хронический болезней лёгких (бронхит, бронхиальная астма, эмфизема, фиброз лёгких и другие), острой и хронический рецидивирующей тромбоэмболии лёгочного ствола и его ветвей, стеноза левого атрио-вентрикулярного отверстия, комбинированного митрального порока сердца, левожелудочковой недостаточности при заболеваниях сердечно-сосудистой системы (кардиосклероз, гипертоническая болезнь). Врождённых пороков сердца со сбросом крови слева направо, а также состояний, ограничивающих подвижность грудной клетки, и другие

Патогенез

Патогенез включает ряд функциональных и органических факторов.



Спазм лёгочных артериол и, соответственно, повышение давления крови в лёгочном стволе в результате ответного увеличения работы правых отделов сердца могут быть вызваны альвеолярной гипоксией (понижением парциального давления кислорода в воздухе лёгочных альвеол). По наблюдениям Мотли (Н. L. Motley) и соавторами (1947), при вдыхании здоровыми людьми газовой смеси, содержащей вдвое меньше кислорода, чем атмосферный воздух, давление в лёгочном стволе повышается с 13 до 26—30 миллиметров ртутного столба. Аналогичные данные получил Шёстранд (I. Sjostrand, 1953). В эксперименте у животных эта реакция сохраняется после перерезки блуждающего нерва, удаления шейных симпатических узлов и введения веществ, блокирующих эффекторные окончания и ганглии вегетативного отдела нервной системы. Таким образом, увеличение нагрузки правых отделов сердца обусловлено не нервно-рефлекторными влияниями, а повышением сопротивления кровотоку в сосудах лёгких, ведущему к повышению конечно-диастолического давления в правом желудочке и перерастяжению мышечных волокон. Альвеолярная гипоксия нередко развивается при хронический заболеваниях лёгких и бронхов, вызывая сужение лёгочных артериол.

Острый рефлекторный спазм лёгочных артериол возникает при значительном эмоциональном напряжении (например, у больного на операционном столе) или при раздражении рецепторов лёгочных сосудов эмболом. Эмболия даже небольшой ветви лёгочного ствола может привести к резкому рефлекторному уменьшению и даже закрытию просвета других лёгочных сосудов и значительному повышению давления в малом круге вследствие внутридолевых, междолевых, межлёгочных вазоконстрикторных рефлексов. Рефлекторный спазм лёгочных артериол играет существенную роль в развитии первичной Гипертензия малого круга кровообращения, а также при митральном стенозе.

Повышение давления воздуха в бронхах и альвеолах может привести к сдавлению лёгочных капилляров и повышению давления крови в системе лёгочного ствола. У животных при повышении внутриальвеолярного давления на 80 миллиметров ртутного столба лёгочные капилляры полностью сдавливаются, кровоток через лёгочную артерию прекращается, а давление в ней резко повышается. У людей во время тяжёлого приступа кашля резко увеличивается внутриальвеолярное давление, что может привести к острому повышению давления в лёгочной артерии до 250 миллиметров ртутного столба. Упорный тяжёлый и длительный кашель приводит к развитию стойкой Гипертензия малого круга кровообращения.

Увеличение минутного объёма сердца более чем в 3 раза превышает резервные возможности расширения лёгочных сосудов и может привести к подъёму давления в малом круге кровообращения.

Повышение вязкости крови при полицитемии и полиглобулии, увеличивающее сопротивление кровотоку в сосудах лёгких.

Нарушение кровообращения при врождённых (со сбросом крови слева направо) и некоторых приобретённых пороках сердца.

Нарушение оттока крови из лёгочных вен, вызванное митральными пороками сердца или сдавлением лёгочных вен аневризмой, спайками, опухолью и другие, ведущее к рефлекторному спазму лёгочных артериол.

Облитерация лёгочных артериол вследствие поражения их стенок (как результат хронический патологический процесса в самих лёгких, лёгочных сосудах или хронический Гипертензия малого круга кровообращения). Установлено, что выключение даже половины сосудистого русла лёгких (удаление одного лёгкого) не приводит к развитию Гипертензия малого круга кровообращения у людей с нормальным давлением в лёгочном стволе до пульмонэктомии. При закупорке одной из двух главных ветвей лёгочного ствола с помощью баллона, раздуваемого через катетер, давление в проходимом лёгочном стволе в большинстве случаев не меняется. Даже закрытие половины лёгочных артериол не вызывает Гипертензия малого круга кровообращения

Повышение давления в лёгочном стволе возникает лишь при выключении 2/3 сосудистого русла лёгких, что при облитерации лёгочных артериол наблюдается сравнительно редко. Эти данные показывают, что закрытие лёгочных артериол вследствие поражения их стенок далеко не всегда является единственной и решающей причиной Гипертензия малого круга кровообращения

Различают прекапиллярную форму Гипертензия малого круга кровообращения, возникающую при болезнях, сопровождающихся повышением сопротивления в мелких ветвях системы лёгочного ствола или капиллярах, и посткапиллярную форму, обусловленную нарушением оттока крови из лёгочных вен. Прекапиллярная форма наблюдается при хронический болезнях лёгких, рецидивирующей тромбоэмболии, васкулитах, ограничении подвижности грудной клетки или диафрагмы, а также при первичной Гипертензия малого круга кровообращения Посткапиллярная форма развивается при митральном стенозе, хронический болезнях сердечнососудистой системы (кардиосклероз, гипертоническая болезнь), сдавлении лёгочных вен опухолями, спайками и тому подобное Посткапиллярная форма может осложняться прекапиллярной и наоборот (смешанная форма), например, при врождённых пороках сердца со сбросом крови слева направо (дефекты межжелудочковой, межпредсердной перегородок, открытый артериальный проток).

Патогенез первичной Гипертензия малого круга кровообращения не ясен. Установлено, что повышение тонуса лёгочных артериол и повышение давления в лёгочном стволе возникают при этом заболевании раньше, чем морфологически изменения в лёгочных сосудах. Введение ганглиоблокаторов уменьшает (хотя и кратковременно) давление в малом круге, что даёт основание полагать, что основной причиной Гипертензия малого круга кровообращения является стойкий рефлекторный спазм лёгочных артериол, к которому в дальнейшем присоединяются деструктивные изменения в стенках сосудов и облитерация части артериол.

Некоторые исследователи предлагают различать две формы первичной Гипертензия малого круга кровообращения: врождённую, обусловленную сохранением у детей фетального типа лёгочной гемодинамики, и приобретённую — в результате эндо- и экзогенных факторов, в том числе инфекционно-аллергических лёгочных артериитов. Высказывается мнение о возможной связи с болезнями соединительной ткани, в которых определённую роль играют аутоиммунные реакции, могущие первично поражать лёгочные артерии. Указывают также на возможность наличия рецидивирующих мил парных эмболий, а также тромбоза, обусловленных повышением свёртываемости крови; .связанное с этим повреждение эндотелия может повлечь за собой облитерирующий процесс.

Патогенез вторичных Гипертензия малого круга кровообращения. При хронический болезнях лёгких особенно важная роль принадлежит гипоксии (смотри), связанной с нарушением функции внешнего дыхания. Снижается парциальное давление кислорода и повышается парциальное давление углекислого газа в альвеолярном воздухе; наступающая альвеолярная гипоксия вызывает спазм лёгочных артериол и увеличение давления в малом круге; гипоксия приводит также к увеличению числа эритроцитов и повышению вязкости крови (смотри Вязкость, крови). Неполное насыщение крови кислородом, приводя к раздражению хеморецепторов аортально-каротидной зоны, обусловливает рефлекторное увеличение минутного объёма сердца. Кашель, наблюдающийся при многих хронический болезнях лёгких, также увеличивает давление в малом круге. Хронический патологический процесс в лёгочной ткани и появляющаяся Гипертензия малого круга кровообращения приводят постепенно к облитерации части лёгочных сосудов и нарастанию давления в малом круге. В дальнейшем сочетание указанных причин приводит к развитию лёгочного сердца (смотри). Устранение альвеолярной гипоксии путём вдыхания чистого кислорода даже у больных с выраженной вторичной эмфиземой лёгких и лёгочным сердцем приводит к временному снижению давления в малом круге; обострение инфекции в воздухоносных путях, углубляя альвеолярную гипоксию, вызывает гипертензивные кризы.

Патогенез Гипертензия малого круга кровообращения при митральных пороках сердца, особенно при митральном стенозе, связывали с нарушением оттока крови из левого предсердия, приводящим к повышению давления в лёгочных венах, а также в системе лёгочных капилляров, артериол и артерий, передающегося на лёгочный ствол. Давление в лёгочном стволе при митральном стенозе достигает 120—170 миллиметров ртутного столба Представление о гидравлической передаче давления с лёгочных вен на лёгочный ствол даёт возможность предположить, что такое же высокое давление возникает и в лёгочных капиллярах, однако это невозможно, так как значительное превышение гидростатического капиллярного давления над коллоидно-осмотическим давлением крови неминуемо привело бы к отеку лёгких. Многие исследователи рассматривали Гипертензия малого круга кровообращения при митральном стенозе как следствие облитерации значительной части лёгочных артериол, обусловленной гемосидерозом. Однако, по данным Уэйда (G. Wade) и другие, у многих больных после оперативного устранения митрального стеноза Давление в лёгочном стволе снижается до уровня, близкого к норме. В связи с этим полагают, что чаще облитерация части лёгочных артериол является не причиной, а следствием Гипертензия малого круга кровообращения при митральном стенозе.



Информация об Ordo Deus Перейти в оглавление сайта

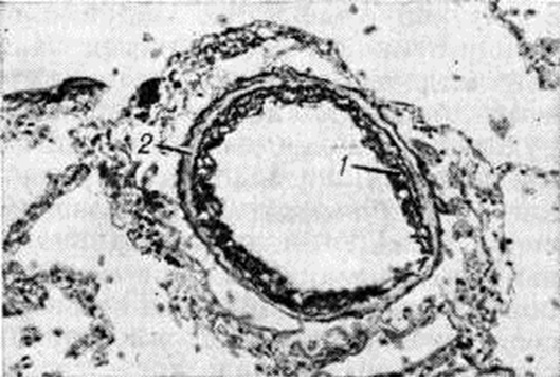
Рис. 1.
Микропрепарат мелкой ветви лёгочной артерии в норме (для сравнения): 1— стенка сосуда; 2— просвет сосуда.





Информация об Ordo Deus Перейти в оглавление сайта

Рис. 2.
Микропрепарат лёгкого при прекапиллярной гипертензии малого круга кровообращения, обусловленной эмфиземой. В центре рисунка мелкая ветвь лёгочной артерии: 1 — утолщённый продольный мышечный слой; 2 — истончённый циркулярный мышечный слой (окраска по Ван-Гизону с докраской фуксемином; × 250).





Информация об Ordo Deus Перейти в оглавление сайта

Рис. 3.
Микропрепарат лёгкого при высокой лёгочной гипертензии, обусловленной врождённым пороком сердца. В центре рисунка анастомоз гломусного типа: 1 – внутренняя эластическая мембрана; 2 – гломусные клетки; 3— просвет анастомоза (окраска по Ван-Гизону с докраской фуксемином; × 250).



Наиболее приемлемое объяснение Гипертензия малого круга кровообращения при митральном стенозе было предложено в 1931 год Ф. Я. Китаевым, который считал, что наступающее при данном пороке растяжение стенок левого предсердия и лёгочных вен приводит к раздражению заложенных там барорецепторов, с которых и возникает сосудосуживающий рефлекс на лёгочные артериолы. Рефлекторное сужение лёгочных артериол уменьшает приток крови из лёгочного ствола в лёгочные сосуды и левое предсердие; этим предотвращается повышение давления в лёгочных капиллярах и отёк лёгкого, а также дальнейшее переполнение кровью функционально несостоятельного левого предсердия. Обратной стороной этой защитной реакции является повышение давления в лёгочном стволе и увеличение нагрузки на правый желудочек. Представления Ф. Я. Китаева долго оставались гипотезой, лишь в 1953 год группа венг. исследователей во главе с Халмадьи (D. F. Halmagyi) с помощью катетеризации установила, что блокада гексаметонием симпатических нервных узлов, а также естественный сон приводят при митральном стенозе к снижению давления в лёгочном стволе. Данные, подтверждающие представления Ф. Я. Китаева, были получены также Карлотти (J. Carlotti) с сотрудники (1959). В 1953 год Богарт (A. Bogaert) с сотрудники экспериментально доказали, что при повышении давления в лёгочных венах и левом предсердии с рецепторов этих областей осуществляется сосудосуживающий рефлекс на лёгочные артериолы. Перерезка блуждающего нерва устраняет этот рефлекс, разрушая его афферентное звено; эфферентное звено рефлекса осуществляется через симпатическую иннервацию. Т. о., установлено, что Гипертензия малого круга кровообращения при митральном стенозе обусловлена повышением давления крови в левом предсердии и растяжением лёгочных вен, что ведёт к рефлекторному спазму лёгочных артериол, а в дальнейшем — к поражению стенок артериол с облитерацией части сосудов.

Патологическая анатомия

Морфологически проявления длительно существующей Гипертензия малого круга кровообращения многообразны. Постоянными для всех форм признаками являются гипертрофия правого желудочка сердца и утолщение лёгочного ствола и крупных его ветвей. Это обусловлено изменением парапластических Субстанций в средней оболочке артерий с накоплением кислых сульфатированных мукополисахаридов, гипертрофией гладкомышечных элементов и атеросклеротическими изменениями во внутренней оболочке. Периметр лёгочных артерий, как правило, увеличен. Степень гипертрофии правого желудочка соответствует степени изменений сосудов лёгких.

Изменения сосудов лёгких при Гипертензия малого круга кровообращения проявляются гипертрофией и склерозом мышечного слоя и развитием межсосудистых анастомозов замыкающего и гломусного типа. Анастомозы замыкающего типа характерны для всех форм Гипертензия малого круга кровообращения, а анастомозы гломусного типа — для первичной Гипертензия малого круга кровообращения и некоторых врождённых пороков сердца. Степень гипертрофии средней оболочки сосуда определяют с помощью индекса Кернохена (1929): отношением толщины средней оболочки к диаметру просвета сосуда, которое в норме соответствует 1 : 8, а при Гипертензия малого круга кровообращения может достигать 1:3, 1 : 2 и даже 1:1. Более точным критерием оценки степени гипертрофии средней оболочки артерии является метод определения площади поперечного сечения средней оболочки.

Прекапиллярная форма наиболее часто развивается на фоне хронический болезней лёгких, сопровождающихся эмфиземой со склерозом альвеолярных перегородок. Возникающее при этом сопротивление кровотоку в капиллярах приводит к переполнению кровью мелких артерий, вследствие чего просвет их растягивается, циркулярный мышечный слой истончается и вместе с тем за пределами внутренней эластической мембраны формируется более или менее массивный продольный мышечный слой (рисунок 1 и 2). В венозном русле отмечается атрофия мышечных элементов, просвет вен спадается, внутренняя оболочка склерозируется.

При гиперволемии малого круга (дефект межжелудочковой перегородки, открытый аортальный проток и другие), помимо значительной гипертрофии средней оболочки мелких ветвей лёгочных артерий с их миоэластозом и последующим миоэластофиброзом, при высокой степени Гипертензия малого круга кровообращения со стороны внутренней оболочки в артериях отмечается большое количество крупных пикринофильных гломусных клеток с крупным ядром (рисунок 3), способных выделять ацетил холин, холинэстеразу, адреналин, которые воздействуют на периферическое кровообращение. В зарубежных исследованиях эти образования часто неправильно трактуют как артерииты или фиброз интимы.

Аналогичные изменения в сосудах лёгких отмечаются при врождённой форме первичной лёгочной гипертензии, обусловленной сохранением фетальной структуры лёгочных артерий (у плода последних недель мышечный слой сосудов значительно толще, чем в постнатальном периоде), что служит причиной высокого сосудистого сопротивления. Это очень рано вызывает значительную гипертрофию правого желудочка при отсутствии пороков сердца и крупных сосудов или заболеваний лёгких. При врождённой Гипертензия малого круга кровообращения различают два варианта аномалий лёгочных сосудов: сохранение фетальной структуры лёгочных артерий и аномалию на уровне внутриорганных сосудистых анастомозов. Постоянным морфологически признаком приобретённых форм первичной Гипертензия малого круга кровообращения является эндосклероз крупных ветвей лёгочного ствола и очаговый склероз их средней оболочки, а также значительная степень гипертрофии первого желудочка, не наблюдаемая при других болезнях.



Информация об Ordo Deus Перейти в оглавление сайта

Рис. 4.
Микропрепарат лёгкого при посткапиллярной гипертензии малого круга кровообращения, обусловленной митральным стенозом. В центре рисунка мелкая вена лёгкого: 1 — гипертрофия и гиперплазия гладкомышечных элементов стенки сосуда с разрастанием соединительной ткани, вызвавшие сужение его просвета (окраска по Ван-Гизону с докраской фуксемином; × 250).





Информация об Ordo Deus Перейти в оглавление сайта

Рис. 5.
Микропрепарат лёгкого при посткапиллярной гипертензии малого круга кровообращения, обусловленной митральным стенозом. В центре рисунка мелкая ветвь лёгочной артерии: 1 — гипертрофия мышечного слоя сосуда (окраска по Ван-Гизону с докраской фуксемином; × 250).



При посткапиллярной форме нарушение оттока из лёгочных вен приводит к гипертрофии мышечных элементов мелких вен лёгкого с последующим склерозом стенки, что вызывает сужение их просвета (рисунок 4). Это наиболее выражено в нижних долях лёгких. Мелкие ветви артерий терминальных и респираторных бронхиол суживаются вследствие гипертрофии средней оболочки (рисунок 5), иногда склероза внутренней оболочки, что является результатом их рефлекторного спазма. В мелких артериях отмечается миоэластоз с последующим фиброзом средней оболочки; капилляры дольше других отделов сосудистого русла лёгких остаются неизменёнными, лишь в стадии декомпенсации отмечается фиброз их стенки и появление сидерофагов (альвеолярные макрофаги, заполненные гемосидерином).

Совещание ВОЗ (1973) рекомендует различать следующие морфологически категории для случаев Гипертензия малого круга кровообращения неясной этиологии: а) патология лёгочных сосудов, характеризующаяся концентрическим фиброзом интимы, некротизирующим артериитом и плексиформными поражениями; б) облитерирующее поражение лёгочных вен, при котором патологический изменения локализуются главным образом в венах и венулах; в) лёгочная тромбоэмболия.

Клиническая картина

Первичная гипертензия малого круга кровообращения. Частота возникновения у мальчиков и девочек одинакова; болезнь выявляется и у новорожденных, однако чаще в возрасте от 10 до 35 лет; среди взрослых чаще болеют молодые женщины. Симптомы Гипертензия малого круга кровообращения редко выявляются до наступления необратимой, поздней стадии болезни, которая развивается медленно. Больные, как правило, не обращаются к врачу до появления выраженных симптомов. Жалобы вначале только на повышенную утомляемость. В развёрнутой стадии наиболее типичным симптомом является одышка, часто сопровождающаяся удушьем, особенно при физ. нагрузке. Больные отмечают боли в области сердца, иногда кровохарканье, в части случаев обмороки, приступы головокружения, иногда выявляется синдром Рейно (смотри Рейно болезнь) — единственная сопутствующая патология. В начале болезни диффузный цианоз незначителен и отмечается лишь у некоторых больных; в поздних стадиях (и в пожилом возрасте) он более постоянен, иногда резко выражен, хотя, в отличие от синдрома Айерсы (смотри Айерсы синдром), не достигает большой («чёрной») интенсивности, нет кашля, мокроты, полиглобулии (смотри) и полицитемии (смотри). Никаких признаков предшествующих заболеваний бронхо-лёгочной и сердечно-сосудистой системы, влекущих за собой гипертензию малого круга, ни в анамнезе, ни при обследовании больного не выявляется. Обмороки объясняются выраженным снижением сердечного выброса, возникающим в ответ на физ. нагрузку. Боли в области сердца связаны с гипоксией гипертрофированного миокарда правого желудочка и растяжением лёгочного ствола.

Единственный объективный клин, признак, в какой-то мере патогномоничный для первичной Гипертензия малого круга кровообращения, — отсутствие значительного цианоза при сильной одышке. Зона абсолютной тупости области сердца значительно расширена вправо соответственно степени гипертрофии, а в поздних стадиях болезни — и вследствие дилатации правых отделов сердца. При этом наблюдается увеличение кнутри площади верхушечного толчка и отчётливая пульсация в эпигастральной области. Характерен акцент второго тона над лёгочным стволом (позднее расщепление второго тона), систолический шум на верхушке сердца и слева от грудины, а при значительном расширении лёгочного ствола — диастолический шум относительной недостаточности клапана лёгочного ствола (шум Стилла). Набухание, пульсация шейных вен и увеличение печени появляются при развитии правожелудочковой недостаточности.



Информация об Ordo Deus Перейти в оглавление сайта

Рис. 6.
Рентгенограмма (а) и томограмма (б) грудной клетки больного с выраженной прекапиллярной гипертензией малого круга кровообращения: расширение правой (1) и левой (4) лёгочных артерий, их ветвей (2) и ствола лёгочной артерии (3). На томограмме более отчётливо видно расширение ствола правой лёгочной артерии.



На ЭКГ выявляются признаки гипертрофии правых предсердия и желудочка (изменения эти неспецифичны): отклонение электрической оси сердца вправо, повышение амплитуды Р2-3, развитие неполной блокады правой ножки предсердножелудочкового пучка (пучка Гиса), отрицательные зубцы Т во втором и третьем стандартных и в правых грудных отведениях. На ФКГ (смотри Фонокардиография) находят расщепление II тона, лёгочный компонент II тона преобладает над аортальным. При векторкардиографическом исследовании (смотри Вектпоркардиография) обнаруживают признаки гипертрофии правого предсердия, отражающие перегрузку правых отделов сердца: увеличение площади петли Р в основном за счёт правопредсердного участка и (или) увеличение максимального вектора, отклонение петли Р по сравнению с нормой вправо и кпереди, в сторону правого предсердия.

Рентгенография грудной клетки долгое время может не обнаруживать изменений в сосудах. Сканирование лёгких и лёгочная артериография не выявляют признаков эмболии (однако и не полностью их исключают).

Вторичная гипертензия малого круга является патологический процессом, осложняющим предшествующие болезни: хронический бронхо-лёгочные, сердечно-сосудистой системы, болезни, поражающие лёгочные сосуды, первичное нарушение подвижности грудной клетки и диафрагмы и другие

Острую форму лёгочной гипертензии и острую перегрузку правых полостей сердца вызывает массивная эмболия лёгочных артерий. В клинической, практике это состояние принято разделять на молниеносную форму, часто заканчивающуюся летально в первые же минуты вследствие прекращения дыхания и кровообращения и требующую срочных мер реанимации (смотри), и на прогрессивно развивающуюся с более медленным нарастанием симптомов, однако также требующую срочного лечения сразу же после установления диагноза (смотри Эмболия лёгочной артерии).

Хронический форму Гипертензия малого круга кровообращения с атипичностью клин, симптомов обусловливают рецидивирующие эмболия и тромбоз ветвей лёгочного ствола при уменьшении ёмкости сосудистого русла лёгких примерно на 2/3. При наличии у больных предшествующих сердечно-сосудистых заболеваний, особенно в стадии декомпенсации, диагноз эмболии лёгких нелёгок, поэтому необходимо внимательно относиться и объяснять причину каждого нового симптома: неожиданная лихорадка, тахикардия, приступы удушья и кашля с преходящим цианозом, болями в грудной клетке, нередко присоединяется острая дыхательная недостаточность (смотри) и отёк лёгких (смотри), позже возникает сердечная недостаточность.

При хронический заболеваниях лёгких Гипертензия малого круга кровообращения возникает только на фоне значительных структурных изменений лёгких, определяемых физикальным и рентгенологическое исследованием; в анамнезе — те или иные данные о болезни лёгких.

Лёгочная гипертензия является одним из главных осложнений врождённых пороков сердца (со сбросом крови слева направо), при этом наблюдается гиперволемия (определяемая рентгенологически) и другие симптомы, свойственные данному пороку; проявляется в молодом возрасте.

Пороки митрального клапана и левожелудочковая недостаточность, связанная с заболеваниями миокарда, сопровождаются застойными явлениями в лёгких и симптомами соответствующих заболеваний (смотри Пороки сердца, Кардиосклероз, Миокардит). С появлением Гипертензия малого круга кровообращения нередко отмечается субъективное временное облегчение, поскольку тягостные проявления левожелудочковой недостаточности идут на убыль, сменяясь начальными симптомами правожелудочковой недостаточности.

Диагноз

Диагноз основывается на результатах клин, наблюдения и сопоставления с данными лабораторных исследований. Ранний диагноз и соответственно раннее лечение первичной Гипертензия малого круга кровообращения возможны редко, так как до наступления необратимой стадии болезни клин, симптомы очень скудны. Первичную Гипертензия малого круга кровообращения можно заподозрить при исключении пороков развития бронхо-лёгочной системы, сердца и магистральных сосудов, а также предшествующих болезней, вызывающих Гипертензия малого круга кровообращения В дифференциальном диагнозе первичной Гипертензия малого круга кровообращения и гипертензии, сопровождающей бронхо-лёгочные болезни, известное значение имеет в первых случаях отсутствие перкуторных и аускультативных изменений в лёгких при наличии одышки: наблюдается несоответствие между признаками тяжёлой гипертензии и отсутствием поражения лёгочной ткани; опорным пунктом служит период рецидивирования бронхо-лёгочных болезней. При первичной Гипертензия малого круга кровообращения отсутствуют, как правило, полицитемия и полиглобулия.



Информация об Ordo Deus Перейти в оглавление сайта

Рис. 7.
Электрокимограммы ствола лёгочной артерии в норме (а) и при лёгочной гипертензии (в): 1 — волна подъёма (при лёгочной гипертензии более крутая); 2— нисходящая волна (при лёгочной гипертензии более пологая); 3 — дикротический зубец, образующийся при захлопывании полулунных клапанов аорты (при лёгочной гипертензии более высоко расположен); б и г — синхронная запись ЭКГ (при лёгочной гипертензии высокий «лёгочный» зубец Р).



Помогает диагностике рентгенологическое исследование, однако окончательный диагноз базируется на результатах катетеризации лёгочного ствола (смотри Сердце, методы инструментального исследования).

Вторичной форме Гипертензия малого круга кровообращения свойственны симптомы, которые определяются анамнезом, клин, наблюдением и соответствующими исследованиями.

Рентгенодиагностика. Следует различать пять основных признаков Гипертензия малого круга кровообращения в рентгеновском изображений: 1) увеличение тени корней лёгких за счёт расширения калибра сосудов; 2) усиление лёгочного сосудистого рисунка вследствие увеличения кровенаполнения мелких сосудов, периваскулярного и перибронхиального выпота; 3) общее или неравномерное понижение прозрачности лёгочных полей как результат уменьшения воздухонаполнения лёгких вследствие вытеснения воздуха жидкостью, пропотевающей в альвеолы, а также застоя крови в капиллярах; 4) наличие зернистых включений гемосидерина; 5) картина интерстициального и альвеолярного отёка лёгких.

Для выявления Гипертензия малого круга кровообращения применяют: рентгеноскопию и рентгенографию грудной клетки, томографию, рентгенокимографию, электрокимографию с функциональными пробами и определением скорости распространения лёгочной артериальной пульсовой волны, а при наличии специальных показаний — зондирование правых полостей сердца и лёгочных сосудов, ангиокардиографию.

При рентгеноскопии и рентгенографии при выраженной прекапиллярной Гипертензия малого круга кровообращения определяется расширение лёгочного ствола, лёгочных артерий и их сегментарных ветвей (рисунок 6, а), а также выраженная гипертрофия правого желудочка сердца и особенно пути оттока крови. В периферических отделах лёгочных полей сосудистый рисунок обеднён, лёгочные вены сужены. При посткапиллярной Гипертензия малого круга кровообращения отмечается расширение как артерий, так и вен лёгких.

С помощью томографии (рисунок 6, а) возможно дифференцированное изучение лёгочных артерий и вен. По соотношению артериальных и венозных сосудов лёгкого можно выделить три типа изменений: 1) вены расширены, артерии имеют нормальный или незначительно увеличенный калибр — картина, характерная для лёгочной гипертензии при левожелудочковой недостаточности, панцирном сердце и митральном пороке (посткапиллярная Гипертензия малого круга кровообращения); 2) артерии и вены расширены — наблюдается, как правило, при врождённых пороках сердца (смешанная форма Гипертензия малого круга кровообращения); 3) крупные ветви лёгочной артерии расширены, а периферические ветви и лёгочные вены сужены — характерно для выраженной стадии первичной лёгочной гипертензии, комплекса Эйзенменгера, лёгочного сердца (прекапиллярная Гипертензия малого круга кровообращения).



Информация об Ordo Deus Перейти в оглавление сайта

Рис. 8.
Схема ангиокардиопульмонографии: 1 — в норме; 2 — при гиперволемии; 3 — при гиперволемической форме лёгочной гипертензии; 4 — при первичной лёгочной гипертензии; 5 — при лёгочной артериальной гипертензии (митральный стеноз); 6 — при лёгочной венозной гипертензии (на рисунках вены — тёмного цвета, артерии — светлые).



Для определения рентгенофункциональных признаков применяют электрокимографию. На кривой пульсации лёгочного ствола при Гипертензия малого круга кровообращения видна крутая волна подъёма, отражающая наполнение лёгочного ствола, вершина кривой куполообразна. В связи с затруднением опорожнения лёгочного ствола нисходящее колено пологое и образует угол с изолинией.

Дикротический зубец, соответствующий захлопыванию полулунных клапанов, расположен высоко (рисунок 7).

Рентгенокимографическая и электрокимографическая кривые лёгочного ствола при Гипертензия малого круга кровообращения имеют большую амплитуду и напоминают кривую пульсации аорты — так называемый аортолизация лёгочного ствола.

Рентгеноконтрастное исследование сосудов лёгких (ангиокардиопульмонография) выявляет резкое расширение лёгочного ствола, лёгочных артерий и их сегментарных ветвей (рисунок 8). Мелкие артериальные сосуды имеют вид грубых тяжей, отсутствуют древовидные ветвления, в паренхиматозной фазе отмечается неоднородное понижение прозрачности, а венозная фаза определяется нечётко.

Лечение

При первичной Гипертензия малого круга кровообращения лечение неэффективно: эуфиллин при внутривенном введении снижает АД в малом круге на срок немногим более часа; ганглиоблокаторы, препараты раувольфии также малоэффективны, ацетилхолин снижает давление в малом круге кровообращения лишь на 10—15 минут. Несколько более эффективен фентоламингидрохлорид (по 50 миллиграмм внутрь 2—3 раза в день в течение 4—6 недель, после перерыва 1—2 недель лечение можно повторить). Бессолевая диета, сердечные гликозиды и мочегонные средства, назначаемые при недостаточности кровообращения, малоэффективны. Антикоагулянты показаны для предупреждения тромбозов в мелких лёгочных артериях.

Лечение вторичной гипертензии зависит от основного заболевания, например, комиссуротомия при митральном стенозе, перевязка открытого артериального протока и другие корригирующие операции при пороках сердца. Болезни бронхов и лёгких лечат в соответствии с принятыми принципами. Все лекарственные средства, вызывающие снижение АД в большом круге (смотри Гипотензивные средства), снижают давление и в артериях малого круга, но действие их непродолжительно. Более специфично, но также непродолжительно действие эуфиллина. Большое лечебное значение имеет кислородная терапия (смотри), особенно при развитии правожелудочковой недостаточности, в этих случаях кислородная терапия позволяет значительно усилить действие сердечных гликозидов.

Прогноз

Полностью развившаяся первичная Гипертензия малого круга кровообращения всегда кончается летально; в некоторых случаях, где была выявлена связь с приёмом аминорекса, наблюдались стабилизация болезни и даже излечение.

Рецидивирующая тромбоэмболия обычно клиницистами не распознается, протекает хронически, сопровождаясь лёгочной гипертензией и формированием лёгочного сердца. Гипертензия малого круга кровообращения при хронический болезнях лёгких и сердечно-сосудистой системы приводит к развитию лёгочного сердца. Гипертензия малого круга кровообращения, осложняющая пороки сердца, приводит к тотальной недостаточности сердца. Наиболее тяжело протекает комплекс Эйзенменгера: дефект межжелудочковой перегородки при резкой лёгочной гипертензии, давление в лёгочном стволе при этом может равняться давлению в аорте либо превышать его.

Смотри также Гипертензия артериальная.

Замотаев И.П.; Крючкова Г.С.; Меерсон Ф.З.; Мухарлямов H.М.; Рабкин И.X.

⇐ Перейти на главную страницу сайта

⇑ Вернуться в начало страницы ⇑

Библиотека Ordo Deus ⇒

⇐ Гипертензия артериальная

⇓ Полный свод знаний. Том первый А. ⇓

Гипертермический синдром ⇒

Все статьи в полном изложении, Вы можете найти в большой медицинской энциклопедии — Главный редактор: академик АН СССР (РАН) и АМН СССР (РАМН) Б.В. Петровский. — Москва издательство «Советская энциклопедия» 1989г.

Внимание! Вы находитесь в библиотеке «Ordo Deus». Все книги в электронном варианте, содержащиеся в библиотеке «Ordo Deus», принадлежат их законным владельцам (авторам, переводчикам, издательствам). Все книги и статьи взяты из открытых источников и размещаются здесь только для чтения.

Библиотека «Ordo Deus» не преследует никакой коммерческой выгоды.

Все авторские права сохраняются за правообладателями. Если Вы являетесь автором данного документа и хотите дополнить его или изменить, уточнить реквизиты автора, опубликовать другие документы или возможно вы не желаете, чтобы какой-то из ваших материалов находился в библиотеке, пожалуйста, свяжитесь с нами по e-mail:
info @ ordodeus. ru
Формы для прямой связи с нами находятся в нижней части страниц: контакты и устав «Ordo Deus», для перехода на эти страницы воспользуйтесь кнопкой контакты вверху страницы или ссылкой в оглавлении сайта.

Вас категорически не устраивает перспектива безвозвратно исчезнуть из этого мира? Вы не желаете закончить свой жизненный путь в виде омерзительной гниющей органической массы пожираемой копошащимися в ней могильными червями? Вы желаете вернувшись в молодость прожить ещё одну жизнь? Начать всё заново? Исправить совершённые ошибки? Осуществить несбывшиеся мечты? Перейдите по ссылке: «главная страница».

© Ordo Deus, 2010. При копировании ссылка на сайт http://www.ordodeus.ru обязательна.