Лимфангиома

Оглавление

  1. Дорога к бессмертию
  2. Бессмертие и религия
  3. Философия бессмертия
  4. Бессмертие и наука
  5. История анабиоза
  6. Смерть
  7. Кора головного мозга
  8. Бессмертие и анабиоз
  9. Анабиоз, медицина и биология
  10. Анабиоз и экономика
  11. Анабиоз и закон
  12. Анабиоз в Антарктиде
  13. Техническое обеспечение анабиоза
  14. Бессмертие и вера
  15. Библиотека Ordo Deus
  16. Контактная страница Ordo Deus

Лимфангиома

Лимфангиома (lymphangioma; латинское lympha чистая вода, влага + греческий angeion сосуд + -oma) — доброкачественная опухоль, развивающаяся из лимфатических сосудов. В большинстве случаев Лимфангиом обнаруживается у детей в первый год жизни, но может встречаться в любом возрасте. По мнению многих авторов, она занимает промежуточное положение между опухолью и пороком развития. Лимфангиом обладает ограниченным ростом, не подвергается малигнизации.

Преимущественная локализация Лимфангиом — кожа, подкожная клетчатка. В отдельных случаях Лимфангиом может развиться в тканях языка, печени, селезёнки, почек, а также в клетчатке средостения и забрюшинного пространства.

По строению Лимфангиом делят на капиллярные, кавернозные и кистозные.

Капиллярная Лимфангиом чаще располагается на лице (верхняя губа и щеки). Внешне она представляет собой припухлость, покрытую неизменённой кожей; граница Лимфангиом трудно определима, консистенция более эластичная, чем окружающая клетчатка. В диаметре капиллярная Лимфангиом редко превышает 2—3 сантиметров

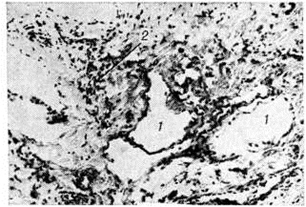
При микроскопическом исследовании капиллярная Лимфангиом представляет собой сеть расширенных и извитых лимфатических, капилляров, выстланных эндотелием (рисунок). Строма опухоли состоит из фиброзной ткани, которая иногда содержит скопления лимфоидных клеток.

Кавернозная (пещеристая) Лимфангиом имеет вид мягких на ощупь опухолевых узлов, покрытых неизменённой кожей и вызывающих резкую деформацию поражённых участков. В отдельных случаях Лимфангиом прорастает кожу, образуя на её поверхности тонкостенные пузырьки диаметром до 0,5 сантиметров, наполненные лимфой. На лице кавернозная Лимфангиом поражает щеки и околоушную область; на туловище она располагается в подкожной клетчатке, преимущественно боковой и переднебоковой поверхности грудной клетки. На верхних и нижних конечностях кавернозная Лимфангиом имеет тенденцию к росту, направленному по длине конечности. Микроскопически кавернозная Лимфангиом состоит из мелких полостей, сообщающихся между собой и выстланных эндотелием; встречаются и отдельные крупные полости, в которых обнаруживается белковая масса с единичными форменными элементами крови. Прослойки соединительной ткани, составляя как бы каркас опухоли, располагаются между полостями и почти всегда содержат отдельные очаги инфильтрации лимфоидными клетками.

Кистозная Лимфангиом, по данным различных авторов, составляет 60% всех Лимфангиом и встречается преимущественно в местах расположения лимфатических, узлов. Более чем в половине случаев кистозная Лимфангиом располагается в области внутренних и наружных треугольников шеи. Второй по частоте поражения является подмышечная область. Кистозная Лимфангиом представляет собой мягкое полусферическое безболезненное образование больших размеров, как правило, не спаянное с кожей. Окраска кожи над опухолью обычно не изменена и лишь в отдельных случаях слегка синюшна. Кистозная Лимфангиом состоит иногда из одной, чаще из нескольких сообщающихся или изолированных крупных полостей. Внутренняя их поверхность выстлана эндотелием, просвет заполнен молочного вида содержимым или прозрачной серозной жидкостью с примесью детрита. В стенках полостей, толщина которых в отдельных случаях доходит до 1—3 миллиметров, встречаются остатки жировой и гладкомышечной ткани с очагами инфильтрации лимфоидными клетками, а также кровеносные сосуды и нервы. При пункции и удалении содержимого опухоль уменьшается в объёме, однако в дальнейшем вновь приобретает прежнюю форму и размеры за счёт накопления жидкости.

При воспалении пальпация опухоли болезненна; в отдельных случаях возможно нагноение кистозных полостей.

Быстрое увеличение в размерах кистозной Лимфангиом, особенно при расположении на шее и в средостении, у новорождённых детей приводит к резкому затруднению дыхания и глотания.

Диагноз кистозной Лимфангиом в типичных случаях не вызывает затруднений. При дифференциальном диагнозе с другими мягкотканными опухолями производят её пункцию. При расположении Лимфангиом в средостении, забрюшинном пространстве и в подкожной клетчатке применяют рентгенологическое исследование: опухоль имеет неправильную, так называемый облаковидную форму, чёткие контуры и неоднородную структуру; составляющие её полости сообщаются между собой каналами различного калибра.



Информация об Ordo Deus Перейти в оглавление сайта

Рис
Микроскопическая картина капиллярной лимфангиомы: 1 — расширенные просветы лимфатических капилляров, выстланных эндотелием; 2 — фиброзная строма опухоли с очаговыми скоплениями лимфоидных клеток; × 150.



Лечение оперативное, склерозирующее или комбинированное. Оперативное лечение заключается в радикальном удалении всей опухоли, а если это невозможно, то в удалении наибольшей её части. Одномоментное оперативное удаление проводят при Лимфангиом любого строения, имеющих чёткие контуры и располагающихся не более чем в двух анатомических областях. При опухолях кистозного строения, захватывающих более двух анатомических областей, целесообразно производить поэтапное удаление. У детей при отсутствии срочных показаний оперативное лечение обычно проводят в конце 1-го года жизни; при локализации Лимфангиом больших размеров на шее или в средостении, сопровождающихся затруднением дыхания или глотания, показано срочное оперативное вмешательство.

Склерозирующая терапия проводится с целью вызвать асептическое воспаление с последующим фиброзом ткани Лимфангиом. Для этого используется 70 или 96% спирт, раствор хининуретана и другие препараты (смотри полный свод знаний Гемангиома).

При локализации Лимфангиом на лице с врастанием в соседние ткани склерозирующая терапия является методом выбора и наиболее эффективна у детей в возрасте до 1 года.

Комбинированное лечение заключается в предварительном проведении нескольких курсов склерозирующей терапии с последующим иссечением поражённой ткани. Оно используется при обширных Лимфангиом лица и шеи, например, часть опухоли, располагающаяся на шее, удаляется оперативным путём, а участки, распространяющиеся на лицо, подвергаются склерозирующей терапии.

Прогноз после радикального лечения благоприятный.

Федореев Г.А.

⇐ Перейти на главную страницу сайта

⇑ Вернуться в начало страницы ⇑

Библиотека Ordo Deus ⇒

⇐ Лимфангиит

⇓ Полный свод знаний. Том первый А. ⇓

Лимфангиэктазия ⇒

Все статьи в полном изложении, Вы можете найти в большой медицинской энциклопедии — Главный редактор: академик АН СССР (РАН) и АМН СССР (РАМН) Б.В. Петровский. — Москва издательство «Советская энциклопедия» 1989г.

Внимание! Вы находитесь в библиотеке «Ordo Deus». Все книги в электронном варианте, содержащиеся в библиотеке «Ordo Deus», принадлежат их законным владельцам (авторам, переводчикам, издательствам). Все книги и статьи взяты из открытых источников и размещаются здесь только для чтения.

Вся информация на сайте Ordo Deus находится в свободном доступе. Ordo Deus не предоставляет информацию на платной основе.

Все авторские права сохраняются за правообладателями. Если Вы являетесь автором данного документа и хотите дополнить его или изменить, уточнить реквизиты автора, опубликовать другие документы или возможно вы не желаете, чтобы какой-то из ваших материалов находился в библиотеке, пожалуйста, свяжитесь с нами по e-mail:
info @ ordodeus. ru
Формы для прямой связи с нами находятся в нижней части страниц: контакты и устав «Ordo Deus», для перехода на эти страницы воспользуйтесь кнопкой контакты вверху страницы или ссылкой в оглавлении сайта.

Вас категорически не устраивает перспектива безвозвратно исчезнуть из этого мира? Вы не желаете закончить свой жизненный путь в виде омерзительной гниющей органической массы пожираемой копошащимися в ней могильными червями? Вы желаете вернувшись в молодость прожить ещё одну жизнь? Начать всё заново? Исправить совершённые ошибки? Осуществить несбывшиеся мечты? Перейдите по ссылке: «главная страница».

© Ordo Deus, 2010. При копировании ссылка на сайт http://www.ordodeus.ru обязательна.